ortho院内には技工所も併設。お子さまに合った矯正治療をご提案します
子どもの時期の歯並び・咬み合わせが乱れていると、大人になって更に悪化してしまうこともあります。お子さまの歯のお悩みは、親子で通いやすい姶良市の歯医者【イシタニ小児・矯正歯科クリニック】までご相談ください。こちらでは小児矯正の治療内容や症例をご覧いただけます。
小児矯正について

歯並びや咬み合わせの乱れを放置してしまうと、お子さまの成長や先々の健康にまで悪影響が及ぶ恐れがあります。矯正治療は大人になってからでも可能ですが、成長に合わせた矯正を行うことで、お子さまへの負担を抑えた治療が可能です。
小児矯正を行うメリットと行わないデメリット
| 小児矯正を行うメリット | 小児矯正を行わないデメリット |
|---|---|
|
|
歯並び・咬み合わせの問題は早期発見・早期治療を

歯並びや咬み合わせの異常には、お子さまの発育段階でのさまざまな問題が関わっています。たとえば、ちょっとした癖が歯並びの乱れにつながることも。そういった原因も含めて早めに問題を発見し、その時期に最適な治療、または経過観察を行うことが非常に重要です。少しでも気になることがあれば、ぜひお早めにご相談ください。
もっとも良い時期に治療を始めましょう。

当クリニックの小児矯正のコンセプトは「早期発見・早期治療」。これは、咬合誘導という考え方に基づいて、原因を早く見つけて手遅れになる前に治療しようという方針です。ただし、患者様や症例によって、「早くから治療を始めた方が良い」「顎の発育が進む小学生から中学生にかけての治療が適している」など治療を始めるベストなタイミングは異なります。当クリニックではもっとも適した時期を見極め、矯正治療の開始をご提案しています。
治療期間は症状や年齢によって異なります。

おおまかな目安としては、乳歯列期(0期)で1~2年程度、混合歯列期(Ⅰ期)で3年程度、永久歯列期(Ⅱ期)で2~3年程度です。これは、各時期で治療が終了する場合で、遺伝的要素がある受け口(下顎前突)などでは、0期やⅠ期治療を終えても、その後の下あごの成長が著しい場合は、Ⅱ期以降の治療が必要になる場合があります。
矯正歯科治療のステージについて
- 0期治療
(乳歯列期) -
- 乳歯列期の矯正治療です。対象年齢3歳~5歳ごろ。
- 主に咬み合わせによる、顎のズレを治療します。
- 指しゃぶりや舌の癖など、咬み合わせに影響のある癖を早期に改善します。
- I期治療
(混合歯列期) -
- 混合歯列期の矯正治療です。対象年齢6歳~12歳ごろ。
- 上下の歯のバランスが悪く受けロや出っ歯などの治療をします。
- あごと歯のバランスが悪くて、将来あごの中に歯が並びきらないと予想される場合に、積極的にあごの成長を促す治療をします。
- II期治療
(永久歯列期) -
- 永久歯列期の矯正治療です。対象年齢13歳ごろ以降。
- I期からの仕上げの治療です。
- 生えそろった永久歯の配列を行います。
- 成人矯正
永久歯列期からの
単独治療 -
- II期治療と同じ矯正装置を使用しますが、I期を行っていない場合に適用される永久歯列期の矯正治療です。
- 生えそろった永久歯の配列を行います。
お子さまのマウスピース矯正(インビザライン・ファースト)
インビザラインは透明のマウスピース型矯正装置。インビザライン・ファーストはその中でも、混合歯列期(乳歯と永久歯の交換期)の子ども向けにつくられたものです。
インビザライン・ファーストの特徴

透明で目立ちません。
見た目にはほとんどわからないため、「お友だちに矯正装置のことをからかわれたら嫌だな……」といった心配もありません。
むし歯リスクを軽減
取り外し可能なマウスピースを使用するため、食事やブラッシングは普段通りに行うことが可能です。そのため、従来の装置と比較してむし歯リスクの軽減につながります。
運動しても安心
マウスピースの素材は薄くて滑らかなため、転んだりぶつかったりしても矯正装置によってケガをする心配はありません。
インビザライン・ファーストの注意点
1日20時間以上アライナーを装着しなければ、矯正期間が延びることも。
決められた時間アライナーを装着しなかった場合、治療期間の延長や治療結果に影響を及ぼすことがあります。治療の効果を十分に発揮するためには、お子さまのモチベーション維持や協力が必要不可欠です。
適応があります
顎や歯並びの状態、生えかわりの状態によって適応とならない場合がありますのでまずは気軽にご相談ください。
叢生(でこぼこの歯)
7歳女児(治療コース:Ⅰ期治療/非抜歯症例/装置をつけていた期間2年10か月)
| 症例 | (治療前)
![]() (治療中) ![]() (治療後) |
|---|---|
| 院長コメント & 治療のリスク |
上の前歯の生えてくるスペースが非常に小さく、舌を前に出す癖もありましたが、治療と癖への指導によって、理想的な永久歯への生え変わりが達成できました。 |
8歳女児(治療コース:Ⅰ期治療/非抜歯症例/装置をつけていた期間3年1か月)
| 症例 | (治療前)
![]() (治療中) ![]() (治療後) |
|---|---|
| 院長コメント & 治療のリスク |
下の前歯が90°にねじれて生えていましたが、Ⅰ期治療単独で自然で美しい歯並びになりました。 |
9歳女児(治療コース:Ⅰ・Ⅱ期治療/小臼歯抜歯症例/装置をつけていた期間2年10か月)
| 症例 | (治療前)
![]() (治療中) ![]() (治療後) |
|---|---|
| 院長コメント & 治療のリスク |
上の犬歯の生えてくるスペースが全く無かったため、早期に後ろの小臼歯を抜歯して犬歯を後方に誘導して治療しました。本人も大変満足されております。 |
12歳女子(治療コース:Ⅰ・Ⅱ期治療/小臼歯抜歯症例/装置をつけていた期間2年2か月)
| 症例 | (治療前)
![]() (治療中) ![]() (治療後) |
|---|---|
| 院長コメント & 治療のリスク |
前歯部の歯並びだけでなく、臼歯部の咬み合わせの問題もありましたが、治療によって、すべての永久歯が望ましい咬み合わせの位置(臼歯関係・犬歯関係Ⅰ級、正中一致)となり、本人も大変満足されております。 |
11歳女子(治療コース:成人矯正/非抜歯症例/装置をつけていた期間1年4か月)
| 症例 | (治療前)
![]() (治療中) ![]() (治療後) |
|---|---|
| 院長コメント & 治療のリスク |
八重歯の治療をペンデュラムという装置を併用し、奥歯を後ろに動かすことによって、永久歯の抜歯を行わずに治療できました。本人も大変満足されております。 |
反対咬合(受け口)
4歳女児(治療コース:0期治療/装置をつけていた期間3か月)
| 症例 | (治療前)
![]() (治療後) |
|---|---|
| 院長コメント & 治療のリスク |
乳歯列期の反対咬合です。4歳の女の子ですが、特に日常生活にも問題なく3か月という短い治療期間で反対咬合が改善しました。 |
8歳男児(治療コース:Ⅰ期治療/装置をつけていた期間1年5か月)
| 症例 | (治療前)
![]() (治療中) ![]() (治療後) |
|---|---|
| 院長コメント & 治療のリスク |
上の前歯が見えないくらい重度の反対咬合です。治療により、反対咬合を改善し、前歯の配列まで行いました。本人も大変満足されております。 |
8歳男児(治療コース:Ⅰ期治療/装置をつけていた期間1年5か月)
| 症例 | (治療前)
![]() (治療中) ![]() (治療後) |
|---|---|
| 院長コメント & 治療のリスク |
受け口の治療にもいろいろなパターンがあります。この患者さまは下の前歯が前に倒れていたのを内側にもどすことで治療しました。 |
13歳男子(治療コース:成人期治療/抜歯症例/装置をつけていた期間2年3か月)
| 症例 | (治療前)
![]() (治療中) ![]() (治療中) ![]() (治療後) |
|---|---|
| 院長コメント & 治療のリスク |
受け口と八重歯が気になっていた中学生です。治療によって、受け口と八重歯が完全に解消され本人も大変満足されております。 |
13歳男子(治療コース:成人期治療/抜歯症例/装置をつけていた期間2年3か月)
| 症例 | (治療前)
![]() (治療中) ![]() (治療後) |
|---|---|
| 院長コメント & 治療のリスク |
受け口と前歯のガタガタが気になる中学生です。下あごの成長もあり、治療には細心の注意を払いましたが、後戻りもなく美しい歯並びとかみ合わせが維持されております。 |
上顎前突(出っ歯)
7歳女児(治療コース:Ⅰ期治療/非抜歯症例/装置をつけていた期間11か月)
| 症例 | (治療前)
![]() (治療中) ![]() (治療後) |
|---|---|
| 院長コメント & 治療のリスク |
口元の突出が非常に大きく、本人も大変気にしておりましたが、治療によって、口元の突出が完全に解消されました。 |
8歳女児(治療コース:Ⅰ期治療+Ⅱ期治療/非抜歯症例/装置をつけていた期間2年11か月)
| 症例 | (治療前)
![]() (治療中) ![]() (治療中) ![]() (治療後) |
|---|---|
| 院長コメント & 治療のリスク |
口元の突出が非常に大きく、本人も大変気にしておりましたが、治療によって、口元の突出が完全に解消され、すべての永久歯が望ましい咬み合わせの位置(臼歯関係・犬歯関係Ⅰ級、正中一致)となり、本人も大変満足されております。 |
13歳女子(治療コース:成人期治療/抜歯症例/装置をつけていた期間1年8か月)
| 症例 | (治療前)
![]() (治療中) ![]() (治療後) |
|---|---|
| 院長コメント & 治療のリスク |
口元の突出が大きく、さらに下の前歯が生まれつき1本少ない患者さまです。治療によって、口元の突出が完全に解消され本人も大変満足されております。 |
12歳女子(治療コース:成人期治療/抜歯症例/装置をつけていた期間2年7か月)
| 症例 | (治療前)
![]() (治療中) ![]() (治療後) |
|---|---|
| 院長コメント & 治療のリスク |
口元の突出が非常に大きく、本人も大変気にしておりましたが、治療によって、口元の突出が完全に解消されました。 |
その他
4歳男児(治療コース:0期治療/装置をつけていた期間3か月)
乳歯列期臼歯部交叉咬合症例
| 症例 | (治療前)
![]() (治療中) ![]() (治療後) |
|---|---|
| 院長コメント & 治療のリスク |
咬み合わせが横にずれていることを心配されて来院した4歳の男の子です。特に治療装置の違和感もなく、短期間で正しい咬みあわせとなりました。 |
7歳女児(治療コース:Ⅰ期治療の一部/装置をつけていた期間5か月)
下顎右側第一大臼歯エクトピック症例
| 症例 | (治療前)
![]() (治療中) ![]() (治療後) |
|---|---|
| 院長コメント & 治療のリスク |
第一大臼歯が前の乳臼歯の下に入り込んで斜めに生えてくることはよくあります。これをエクトピックといいますが、早期の治療によって乳臼歯にダメージを与えずに改善することができました。 |
13歳男子(治療コース:Ⅰ期治療+Ⅱ期治療/非抜歯症例/装置をつけていた期間1年8か月)
上顎犬歯の埋伏を認める叢生症例
| 症例 | (治療前)
![]() (治療中) ![]() (治療後) |
|---|---|
| 院長コメント & 治療のリスク |
中学生になっても右上の犬歯が生えてこないと心配されていた患者さんです。治療によって犬歯はきれいに生えて、すべての永久歯が美しくならび、本人も大変満足されております。 |
7歳女児(治療コース:Ⅰ期治療+Ⅱ期治療/非抜歯症例/装置をつけていた期間3年7か月)
過蓋咬合症例
| 症例 | (治療前)
![]() (治療中) ![]() (治療後) |
|---|---|
| 院長コメント & 治療のリスク |
かみ合わせが深いことが気になり矯正治療を希望されました。上の奥歯を後方に移動することで抜歯することなく美しい歯並びになりました。 |
7歳女児(治療コース:Ⅰ期治療+Ⅱ期治療/非抜歯症例/装置をつけていた期間のべ3年3か月)
上顎両側側切歯先天欠如症例
| 症例 | (治療前)
![]() (治療中) ![]() (治療後) |
|---|---|
| 院長コメント & 治療のリスク |
もともと下の前歯のガタガタが気になり矯正治療を希望されました。上の犬歯を側切歯の場所に誘導することで自然で美しい歯並びになりました。 |
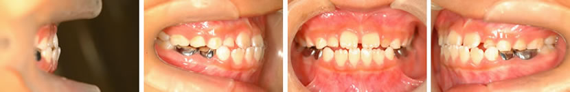
11歳女子(治療コース:Ⅰ期治療の一部/非抜歯症例/装置をつけていた期間1年6か月)
上顎両側側切歯先天欠如症例
| 症例 |
|
||
|---|---|---|---|
| 院長コメント & 治療のリスク |
生まれつき上の前歯が2本無いために、すきまが大きく残っていましたが、早期の治療によってすきまをきれいに閉じることができました。 |
家族で通える歯医者さん【イシタニ小児・矯正歯科クリニック】
所在地:鹿児島県姶良市宮島町41-4
アクセス:JR帖佐駅より徒歩7分/姶良市役所バス停より徒歩7分
患者様専用の駐車場20台、および駐輪場完備
診療カレンダー:
| 診療時間 | 月 | 火 | 水 | 木 | 金 | 土 | 日 | 祝 |
|---|---|---|---|---|---|---|---|---|
| 午前/9:00~ 12:30 |
〇 | 〇 | 〇 | ― | 〇 | 〇 | ― | ― |
| 午後/14:30~ 18:30 |
〇 | 〇 | 〇 | ― | 〇 | 〇 | ― | ― |
休診日:木・日・祝祭日(祝日や学会等による休診は振替診療あり)
受付時間:午前/12:00まで、午後/18:00まで
ご予約:完全予約制
お電話:0800-200-8049(通話無料)
































